Öksürük şikayetiyle hastaneye midesinden bakın ne çıktı?

Öksürük şikayetiyle hastaneye midesinden bakın ne çıktı?

Öksürük krizi nedeniyle hastaneye başvuran Brezilyalının midesinde onlarca tenya larvası olduğu ortaya çıktı. Uzmanların ilk uyarısı, yiyeceklerin iyice yıkanması gerektiği yönündeydi.

TRT''nin Daily Mail''i kaynak gösterdiği habere göre: Brezilya''da şiddetli ve geçmeyen öksürük nedeniyle hastaneye başvuran hastanın midesinde beyin ve göze ulaştığı an ölmesine neden olacak onlarca tenya olduğu ortaya çıktı. Normal durumlarda zararsız olan tenyaların beyin ya da göz dokularına girdikleri anlarda ölümle sonuçlanan problemler oluşabiliyor.

Hastanın, domuz tenyasının genç formunun neden olduğu sistiserkoz isimli doku enfeksiyonuna yakalandığı anlaşıldı.

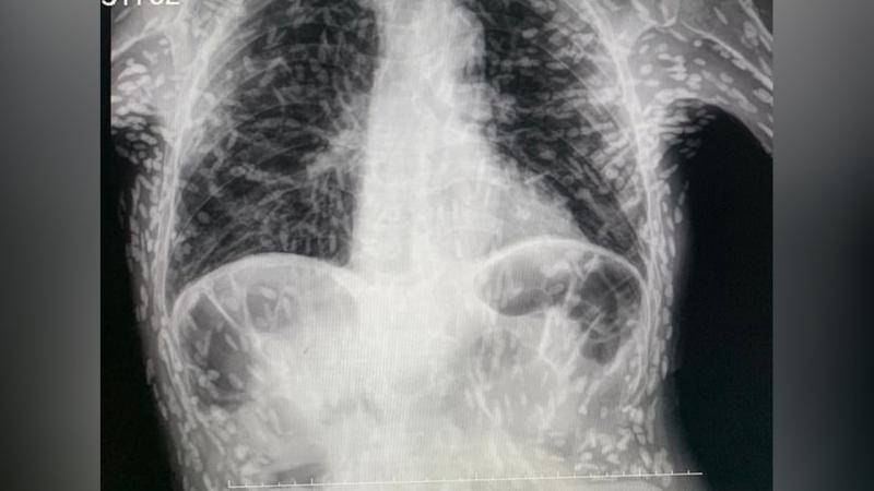
Hastanın röntgeninde yüzlerce beyaz nokta tespit edildi. Bu beyaz noktaların parazitlerin kireçlenmiş kalıntıları olduğu ortaya çıktı.

Hastayı tedavi eden Dr. Vitor Borin de Souza, Twitter’dan yaptığı açıklamada, tenyalara yakalanmamak için yiyeceklerin iyice yıkanması gerektiğini söyledi. 

EPİLEPSİ VAKALARININ YÜZDE 70''İ TENYALAR YÜZÜNDEN 

Sistierkozda normalda bağırsaklarda yaşayan tenyaların kas ve beyin gibi dokulara girdiği biliniyor. Tenyalar girdikleri bu dokularda kist gibi şişliklere neden oluyor.

Öte yandan Dünya Sağlık Örgütü, beyinde gelişen domuz tenyası larva kistlerinin dünyanın bazı bölgelerindeki epilepsi vakalarının yüzde 70''inden sorumlu olduğunu tahmin ediyor. Her yıl yaklaşık 2,5 milyon kişinin domuz tenyası ile enfekte olduğu düşünülüyor.

YORUMLAR
YORUM YAZ
UYARI: Küfür, hakaret, rencide edici cümleler veya imalar, inançlara saldırı içeren, imla kuralları ile yazılmamış,
Türkçe karakter kullanılmayan ve büyük harflerle yazılmış yorumlar onaylanmamaktadır.